Wechat . xjatrsa

全站搜索

子宫腺肌症相关检查

分类:腺肌症 1977 0

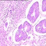
子宫腺肌症常用的检查有:妇科检查、CA-125、CEA、AFP、激素六项、B超、3D腹腔镜(诊断治疗兼为一体),病理检查(术后)。根据腺肌症症状及临床表现、体征及相关检查可确诊。

标签:腺肌症检查 上一篇: 下一篇:

您好!请登录

点击取消回复
    展开了解更多
    X 微信
    免费预约表

    loading...