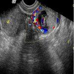
输卵管妊娠(宫外孕输卵管妊娠)是最常见的异位妊娠,即受精卵种植于输卵管。以壶腹部妊娠为最多,占50%-70%;其次为峡部,占30%-40%;伞部、间质部最少见,占1%-2%。今天跟大家分享一例间质部妊娠的图片:

宫外孕输卵管妊娠北京安太医院3D腔镜下开窗取胚,必要时可移胚胎入宫内。
上一篇: 【图片】3D腹腔镜下宫外孕异位灶开窗术 下一篇: 她因为宫外孕选择在北京安太医院保管手术
全站搜索
输卵管妊娠(宫外孕输卵管妊娠)是最常见的异位妊娠,即受精卵种植于输卵管。以壶腹部妊娠为最多,占50%-70%;其次为峡部,占30%-40%;伞部、间质部最少见,占1%-2%。今天跟大家分享一例间质部妊娠的图片:

宫外孕输卵管妊娠北京安太医院3D腔镜下开窗取胚,必要时可移胚胎入宫内。







您好!请登录