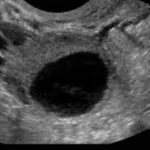
陈凤林教授指出:不排卵原因多种多样,但表现都一样,不管是自然周期,还是药物促排卵,都有一部分人卵泡发育到超过2cm后仍然不排出,继续增长,甚至超过4-6cm,个别的到了下个月经周期仍然没有排卵,医学上称为黄素化卵泡不破裂综合征(LUFs),为什么会有此种现象呢,有的人甚至一连几个月的监测都是如此,成为很多医患的不解之谜。
临床上发现有些人存在着明显的原发病,如子宫内膜异位症、多囊卵巢综合征或垂体或下丘脑疾病,这些人只要治疗原发病就好了;还有的是多囊卵巢综合症手术后遗症,即卵巢挫灭排卵正常了,体内过高雄激素仍存在于皮下脂肪中,所以导致不排卵,用强的松或螺旋内酯治疗有效;
而有些人就不易很快找到原因,这就给治疗带来困难,关于这部分原因不明的不排卵,安太医院发明了介入疗法,即跟踪监测卵泡,一旦成熟立刻用超声引导刺破卵泡,然后助孕,多能达到本月怀孕的目的,等生完小孩再慢慢寻找原发病予以治疗,
其实,排卵机制很复杂,特别是排卵的瞬间,激素和卵巢局部的变化很微妙,首先是LH必须出现峰值,其次是卵泡张力足够大。一般自然周期只有一个卵泡,LH的量在90左右就能排卵,如果不足就会lufs;而促排卵由于多个卵泡发育,自体本身产生的LH是不足以引起排卵的,必须靠外源给HCG(含50%的LH)才能排卵,一般的每个卵给1000单位为宜,最多不要超过15000单位,如果外源HCG不够也会导致lufs。还有一个助推因素,那就是性交,女性高潮的瞬间LH大量释放,子宫强烈收缩有助于成熟卵破裂。
临床上不排卵主要有两类,一是黄素化卵泡不破裂综合征(LUFs), 另一类是排卵延迟,就是卵泡破裂的时间后延了,卵子过熟,两种情况都不会怀孕,但是哪种情况都可以用介入刺破助孕。
这正是:急则治标,缓则治本!
安太医院



![[视频]多囊卵巢综合症患者不孕问题解决方案:卵睾挫灭术 [视频]多囊卵巢综合症患者不孕问题解决方案:卵睾挫灭术](https://www.antaihosp.com/wp-content/uploads/2023/05/20230501213241-150x150.jpg)



您好!请登录